1、培训简介
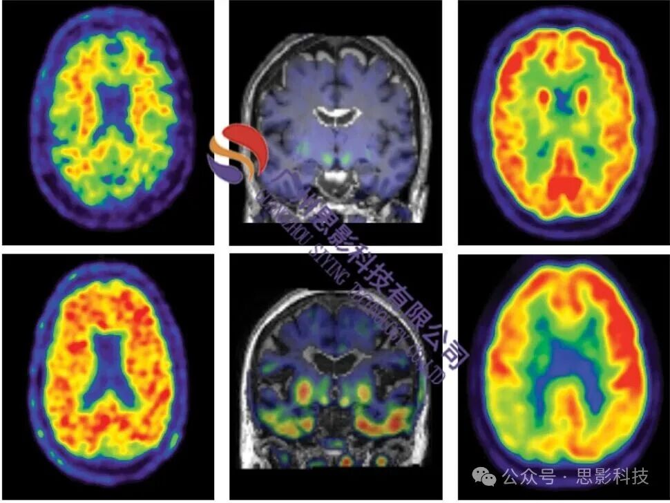
已有的研究成果表明,PET图像分析在揭示脑代谢活动和脑疾病机制方面具有不可替代的价值。通过检测放射性示踪剂在脑内的分布,PET技术能够精准反映脑区的代谢水平、血流变化以及神经递质活动,为研究者提供高灵敏度、高特异性的功能信息。例如,基于体素的SUVR分析可以识别出与神经退行性疾病(如阿尔茨海默病、帕金森病)相关的代谢异常区域,结合图论指标计算,为研究者提供了从局部到全局的脑功能网络视角,进一步深化了对脑疾病机制的理解。
然而,PET图像分析涉及复杂的预处理流程和多样化的分析方法,许多研究者在实际操作中面临技术门槛高、软件工具复杂等挑战。针对这一需求,思影科技特别推出PET图像分析专题班,课程内容涵盖从基础到高级的全流程实操,包括PET数据处理原理、基于SPM的预处理与统计分析、基于体素和表面的SUVR分析、PET连接矩阵构建及图论指标计算、基于个体相似度的PET脑网络分析等。通过六天的学习,学员将掌握PET图像分析的核心技术,并能够独立完成从数据预处理到结果可视化的全流程分析。如果您需要其他模态脑影像分析课程和服务,请浏览以下链接(直接点击即可浏览),感谢转发支持。(可添加微信号19962074063或18983979082咨询):
核磁及PET:
上海:
第十届Surface based fMRI分析专题班(上海,3.14-18)
广州:
第十届定量磁敏感成像(QSM)数据分析班(广州,3.1-3)
第二十三届磁共振ASL(动脉自旋标记)数据处理班(广州,3.7-10)
北京:
第六十二届扩散成像数据处理班(北京,3.8-13,新增DTI-ALPS)
南京:
重庆:
数据处理业务介绍:
思影扩散加权成像(DWI)数据处理
思影脑结构磁共振(T1)成像数据处理业务
思影科技啮齿类动物(大小鼠)神经影像数据处理业务
思影ASL数据处理业务
思影脑淋巴系统数据分析业务(WMH,FW-DTI,ALPS,PVS,gBOLD-CSF和脉络丛体积)
思影科技定量磁敏感(QSM)数据处理业务
思影科技影像组学(Radiomics)数据处理业务
思影科技深度学习(Deep Learning)影像组学数据处理
思影科技DTI-ALPS数据处理业务
思影科技灵长类动物fMRI分析业务
思影科技脑影像机器学习数据处理业务介绍
思影科技EEG/ERP数据处理业务
思影TMS-EEG数据处理业务
思影科技近红外脑功能数据处理服务
思影科技脑电机器学习数据处理业务
思影科技脑磁图(MEG)数据处理
思影科技眼动数据处理服务
思影科技微生物菌群分析业务
招聘及产品:
思影科技招聘数据处理工程师(广州,北京,上海,南京,重庆)
BIOSEMI脑电系统介绍
目镜式功能磁共振刺激系统介绍
2、培训对象与内容
此次培训的对象是希望利用磁共振脑网络技术进行研究的临床医生及认知神经科学科研人员等:如神经内科、神经外科、精神科、康复科、麻醉科的医生及心理学、认知神经科学的研究者等,思影科技一直坚持小班教学的方式,并配备教辅人员,后续提供在线支持,及时解决学员数据处理中存在的问题。参加本次课程的学员本人可免费重修一次(不限时间和地点),如您感兴趣请及早报名或联系微信19962074063咨询,思影接受预报名或者预存。
内容主要包括:PET分析原理、PET处理流程、基于体素的SUVR分析、基于表面的SUVR分析、基于感兴趣区的SUVR分析、Centiloid计算、PET脑网络构建、基于个体相似度的PET脑网络分析、图论指标计算和统计。
注:如方便,请于会议开始前一天到达会场(10:00-20:00)熟悉场地及安装软件、拷贝资料等事宜,也可以开班第一天上午8:30到,课程时间(9:00-12:00,下午14:00-17:00,晚上18:00-21:00)。
3、课程安排
|
时间 |
课程名 |
主要内容 |
|
|
第一天 4.15 张嫡嫡 |
上午 |
PET数据处理原理 |
l PET基本原理简介 l 基于SPM的PET数据处理流程 |
|
下午 |
PET数据预处理实操 |
l 格式转换 l 部分容积校正 l SUVR计算 l 空间标准化、空间平滑等 |
|
|
晚上 |
MATLAB基础 |
l 流程控制语句和函数 |
|
|
第二天 4.16 张嫡嫡 |
上午 |
PET数据预处理实操 |
l 预处理的批处理 l 基于SPM的统计 |
|
下午 |
基于体素的SUVR分析 (一) |
l 多重比较校正 l 结果汇报 l 可视化 |
|
|
第三天 4.17 张嫡嫡 |
上午 |
基于体素的SUVR分析 (二) |
l 基于感兴趣区的SUVR分析(体积空间) l SUVR相关分析 l ROI水平的部分容积校正 |
|
下午 |
Centiloid计算 |
l 分析流程简介 l 指标计算实操 |
|
|
第四天 4.18 安筱 |
上午 |
PET协变网络分析 |
l 网络属性介绍 l 连接矩阵构建 l 图论指标计算 l 图论指标统计 |
|
下午 |
基于个体相似度的PET脑网络分析 |
l 个体相似度网络介绍 l 指标计算与统计 |
|
|
第五天 4.19 安筱 |
上午 |
基于表面的SUVR分析(一) |
l LINUX操作系统介绍 l LINUX基础命令、流程控制、脚本编写等 l Freesurfer、PETSurf软件介绍 |
|
下午 |
基于表面的SUVR分析(二) |
l Freesurfer分割T1结构像 l PET表面预处理(部分容积校正、配准、平滑) l 指标计算 |
|
|
第六天 4.20 安筱 |
上午 |
表面SUVR统计 |
l Freesurfer统计 l Freeview可视化 |
|
下午 |
基于ROI的SUVR分析(表面空间) |
l atlas的选择 l ROI定义 l 指标提取 |
|
4、培训人数
此次课程限定人数,报名敬请从速。
5、培训地点
广州市越秀区解放南路33号丽丰国际中心1005,具体见会议指南。
6、培训费用
所有参会人员4000/人(含资料费、培训费,交通及食宿费自理)。
7、报名方式
请将报名回执发送至:syfmri@vip.163.com,可添加微信19962074063或18983979082获取报名表及盖章版本通知。
8、缴费方式
银行转账(转账信息见回执表)或者支付宝(gzsyfmri@163.com,户名:广州思影科技有限公司),也可现场刷公务卡,如需其他缴费方式,请与我们联系,联系方式见下文,谢绝录像,主办方提供发票。
9、联系方式
联系人:杨晓飞。
电话:020-81192616/18580429226
10、备注
请各位学员自带笔记本电脑Windows64位系统((推荐win10)、i5及以上、8G内存、50G剩余存储空间等基本配置;请不要带苹果电脑);学员自己有数据的可以带3-5例进行现场处理;请将回执表发送至syfmri@vip.163.com并及时缴费,便于安排。
报名回执表
|
单位名称、税号 (发票抬头) |
|
||||
|
姓名 |
|
性别 |
|
邮箱 |
|
|
电话号码 |
|
科室/专业 |
|
||
|
缴费方式 |
□转账 □支付宝 □现场刷卡 □微信信用卡 (请选择在□打√) |
||||
|
银行信息 |
账户名:广州思影科技有限公司 账号:44043701040014070 开户行:中国农业银行股份有限公司广州大德路支行 |
||||
|
汇款备注 |
第七届PET(正电子发射断层成像技术)数据处理班+姓名 |
||||
注:请完整填写回执表后回传给我们,以便给您发送确认函,谢谢支持!
11、在线支持服务
思影科技将为参加培训的学员提供免费的在线支持与合作,确保学员能够熟练掌握数据处理方法。
12、培训人员简介:
张嫡嫡,硕士,思影科技高级工程师,拥有多个脑影像数据处理项目经验。
安筱,硕士,思影科技高级工程师,拥有多个脑影像数据处理项目经验。

微信扫码或者长按选择识别关注思影
非常感谢转发支持与推荐
获取word文档:
1.直接微信扫描以下二维码(或者长按选择识别):
2.链接下载:
链接:
https://pan.baidu.com/s/1-sM3QXz8Wp_jRRgbAL5UDA
提取码: 3a5w
3.请加微信:19962074063或18983979082获取word版本回执文档或咨询课程。(请直接点击下文文字即可浏览思影科技其他课程及数据处理服务,欢迎报名与咨询,目前全部课程均开放报名并支持预存,报名后我们会第一时间联系,并保留名额):
核磁及PET:
上海:
第十届Surface based fMRI分析专题班(上海,3.14-18)
广州:
第十届定量磁敏感成像(QSM)数据分析班(广州,3.1-3)
第二十三届磁共振ASL(动脉自旋标记)数据处理班(广州,3.7-10)
北京:
第六十二届扩散成像数据处理班(北京,3.8-13,新增DTI-ALPS)
南京:
重庆:
脑电及红外、眼动:
南京:
上海:
北京:
重庆:
第十九届脑电机器学习班(Matlab版,重庆,3.18-22)
广州:
数据处理业务介绍:
思影扩散加权成像(DWI)数据处理
思影脑结构磁共振(T1)成像数据处理业务
思影科技啮齿类动物(大小鼠)神经影像数据处理业务
思影ASL数据处理业务
思影脑淋巴系统数据分析业务(WMH,FW-DTI,ALPS,PVS,gBOLD-CSF和脉络丛体积)
思影科技定量磁敏感(QSM)数据处理业务
思影科技影像组学(Radiomics)数据处理业务
思影科技深度学习(Deep Learning)影像组学数据处理
思影科技DTI-ALPS数据处理业务
思影科技灵长类动物fMRI分析业务
思影科技脑影像机器学习数据处理业务介绍
思影科技EEG/ERP数据处理业务
思影TMS-EEG数据处理业务
思影科技近红外脑功能数据处理服务
思影科技脑电机器学习数据处理业务
思影科技脑磁图(MEG)数据处理
思影科技眼动数据处理服务
思影科技微生物菌群分析业务
招聘及产品:
思影科技招聘数据处理工程师(广州,北京,上海,南京,重庆)
BIOSEMI脑电系统介绍
目镜式功能磁共振刺激系统介绍